



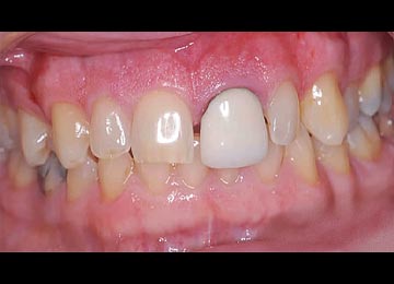
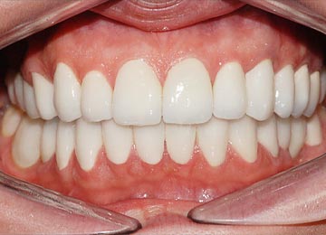
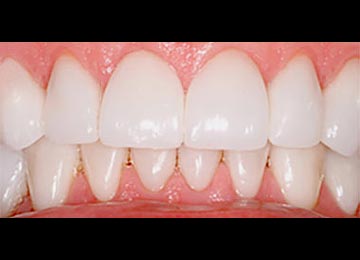
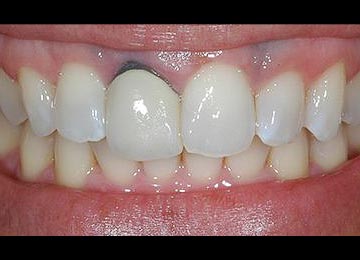
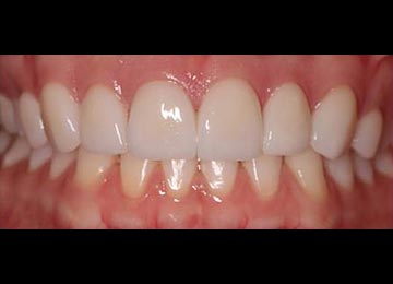
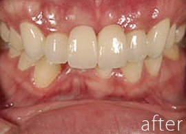
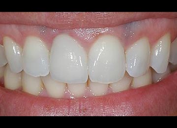
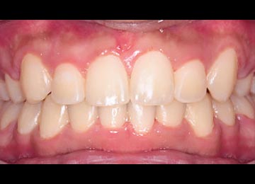
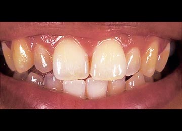
神戸審美歯科グループはセラミック治療を得意としております








神戸審美歯科グループの
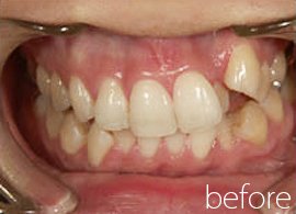
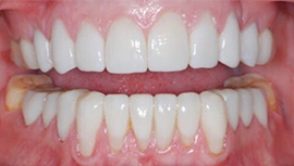
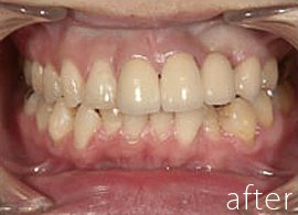
セラミック治療が美しい理由はコレ!












このように、神戸審美歯科グループのセラミック治療は、
キレイで自然な歯を
作るための
ポイントを押さえています。

より良い審美歯科治療を
受けていただくために


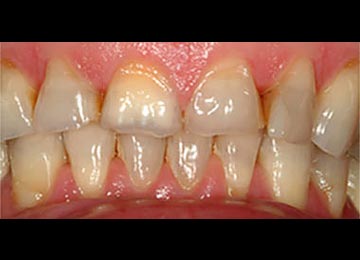
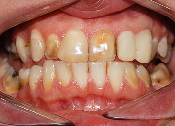
1989年からの12,200人以上(医療法人真摯会グループ全体)の審美歯科(セラミック)の症例数で、セラミック治療を習得している歯科医師を擁し、さらに、当院はベテランのセラミストが作っている、セラミックを使用しています。


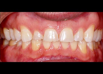
いくら最終的にきれいな歯が入ったとしても、治療途中がきれいでない状態はよくありません。当グループでは治療中も必ず仮歯をお入れして、患者さんのQOLが下がらないように十分な配慮をしております。


これは当たり前のこととも言えますが、治療に際してはとことんご説明させていただきます。メリットばかりではなく、デメリットもきちんとご説明してから治療に入るようにしております。
患者さまには十分に納得いただくことで、安心してお任せしていただけるように。当院の配慮です。


痛みをできるだけ少なくする無痛治療を心がけています。
また、たとえば麻酔をする際には麻酔薬を体温くらいに温めることで、麻酔自体の痛みも軽減するように処方するなど工夫を凝らした施術を心がけております。


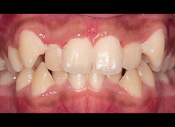
セラミックか矯正治療か迷っている方でも大丈夫です。
当院は矯正歯科を併設しているので、もし矯正のほうがベターであると判断した場合は矯正もできます。
また、取り外し式のマウスピース矯正も可能です。


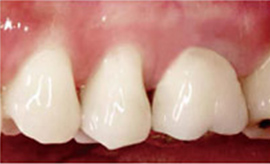
当グループの技術では完全な金属なし(メタルフリー)の治療ができます。従来は難しかったブリッジタイプのかぶせ物でも、メタルフリーで治療できますので、金属アレルギーの方も安心して施術を受けていただけます。


審美治療が終わってから、かぶせ物の破損に関して3年間の保証期間を設けております。(ただし、定期健診に応じていただけない方は歯ぐきや骨の状態が変化することがありますので対象外となります。)


審美歯科治療が終わったあと、その歯を健康にキープするためには歯周病にならないことが大事です。基本的に歯周病にならなければ、歯はずっと持ちますので定期的なメンテナンスが重要となります。当グループでは、一度治療をしたら終わりではなく、患者様の健康が一生涯保てるように努力しております。
まずは、セラミック審美治療で
気になることを
お気軽に聞いてください。
十分お時間を取り、
親切丁寧に
ご説明させて頂きます。
ご来院いただいた瞬間から、
きっとご満足いただけるように。
ミント神戸院 外観
ミント神戸院 受付
神戸マルイ院 外観
神戸マルイ院 受付神戸審美歯科グループは
三宮駅前のミント神戸院と神戸マルイ院の
2院ございます。
各三宮駅からのアクセスが良く、
通勤途中や仕事帰りに寄られて便利です。

三宮クローバー歯科クリニック(ミント神戸院)は
ミント神戸15Fにございます

クローバー歯科クリニック神戸マルイ院は
神戸マルイ5Fにございます
理事長 松本正洋
三宮クローバー歯科クリニック(ミント神戸院)
院長 坂野 弘子
クローバー歯科クリニック神戸マルイ院
院長 今福 京
西宮クローバー歯科
院長 廣石 勝也